GAMBETTA SMILE CLINIQUE
DRS AOUN & CHERIFI CHIRURGIENS-DENTISTES
ACCUEIL
NOTRE CABINET
Présentation
L'équipe
Accès
NOS PRATIQUES
Implantologie
Facettes
Blanchiment dentaire
Orthodontie Invisible Invisilign
NOS CONSEILS
FICHES CONSEILS
VIDÉOS
URGENCES
QUESTIONNAIRE PRE-RDV
ACCUEIL
NOTRE CABINET
Présentation
L'équipe
Accès
NOS PRATIQUES
Implantologie
Facettes
Blanchiment dentaire
Orthodontie Invisible Invisilign
NOS CONSEILS
FICHES CONSEILS
VIDÉOS
URGENCES
QUESTIONNAIRE PRE-RDV
Blog - Page 5
Maxillaire all-on-6 et comblement de sinus
EN SAVOIR PLUS
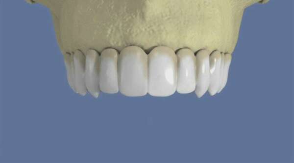
Facettes
EN SAVOIR PLUS
Comblement de sinus par voie latérale (sinus lift) avec implantation différée
EN SAVOIR PLUS
Maxillaire : bridge vissé sans fausse gencive
EN SAVOIR PLUS
Le traitement non chirurgical de la parodontite
EN SAVOIR PLUS
Le cas spécifique de la luxation de la mâchoire
EN SAVOIR PLUS
Affichage des articles 25-30 sur 204
‹
1
2
3
4
5
6
7
8
9
…
33
34
›
Rechercher dans le blog Blog
Implantologie
(10)
Informations pratiques
(8)
Invisalign
(2)
L'équipement du cabinet dentaire
(8)
L'orthodontie
(23)
Les choix esthétiques
(14)
Les dents chez l'adulte
(6)
Les dents de l’enfance à l’adolescence
(14)
Les dents et la santé
(26)
Les gencives
(33)
Les implants
(26)
Les pathologies bucco-dentaires
(35)
Les prothèses
(54)
Omnipratique
(244)
Prendre soin des dents
(26)
GAMBETTA SMILE CLINIQUE
Politique de confidentialité et charte cookie
Mentions légales
Conditions Générales Utilisation
Charte déontologique
Ordre national
Annuaires chirurgiens dentistes
LE BLANCHIMENT DES DENTS "AU FAUTEUIL"
L’ÉCLAIRCISSEMENT DENTAIRE
LES FACETTES EN CÉRAMIQUE
POURQUOI L'EXCÈS DE SUCRE EST-IL MAUVAIS POUR LES DENTS ?
LA DENT, COMPOSITION, FORME ET FONCTION
LE SYNDROME D'APNÉES OBSTRUCTIVES DU SOMMEIL (SAOS)
Rechercher dans le blog Blog
Création par
Connexion
Vidéo en cours de lecture