GAMBETTA SMILE CLINIQUE
DRS AOUN & CHERIFI CHIRURGIENS-DENTISTES

Blog - Page 3

Le mouvement normal de l’articulation temporo-mandibulaire

Le mouvement normal de l’articulation temporo-mandibulaire

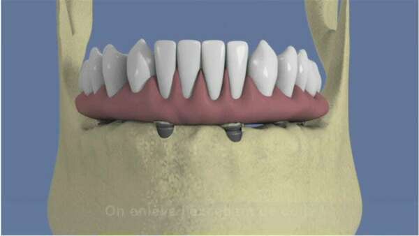
Mandibule complète et traitement implantaire pour un bridge fixe vissé

Mandibule complète et traitement implantaire pour un bridge fixe vissé

PLAN D'ACCÈS - CABINET DE PARIS 20 ÈME

PLAN D'ACCÈS - CABINET DE PARIS 20 ÈME

Afin de faciliter votre accès à notre cabinet, vous trouverez ci-dessous un plan d'accès.

Blanchiment au fauteuil

Blanchiment au fauteuil

Impact du brossage agressif sur l’usure des dents

Impact du brossage agressif sur l’usure des dents

Bruxisme et usure dentaire

Bruxisme et usure dentaire

Affichage des articles 13-18 sur 204

Création par Webdentiste

Connexion