GAMBETTA SMILE CLINIQUE
DRS AOUN & CHERIFI CHIRURGIENS-DENTISTES
GAMBETTA SMILE CLINIQUE
DRS AOUN & CHERIFI CHIRURGIENS-DENTISTES

93 avenue Gambetta
75020 Paris Code porte d'entrée: 3689

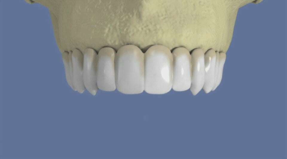
Maxillaire : bridge vissé sans fausse gencive


video-play-icon

Articles similaires

Création par Webdentiste

Connexion