GAMBETTA SMILE CLINIQUE
DRS AOUN & CHERIFI CHIRURGIENS-DENTISTES
ACCUEIL
NOTRE CABINET
Présentation
L'équipe
Accès
NOS PRATIQUES
Implantologie
Facettes
Blanchiment dentaire
Orthodontie Invisible Invisilign
NOS CONSEILS
FICHES CONSEILS
VIDÉOS
URGENCES
QUESTIONNAIRE PRE-RDV
ACCUEIL
NOTRE CABINET
Présentation
L'équipe
Accès
NOS PRATIQUES
Implantologie
Facettes
Blanchiment dentaire
Orthodontie Invisible Invisilign
NOS CONSEILS
FICHES CONSEILS
VIDÉOS
URGENCES
QUESTIONNAIRE PRE-RDV
Blog - Page 7
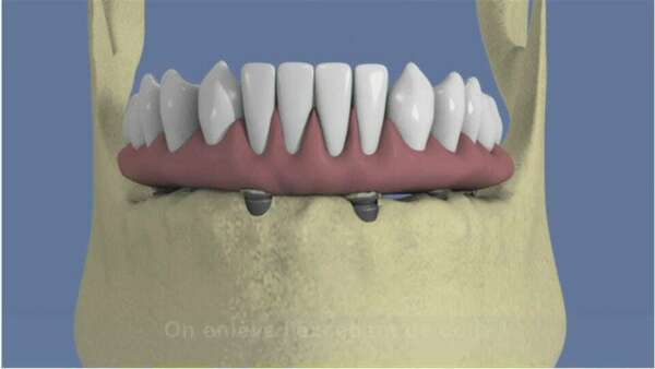
Mandibule complète et traitement implantaire pour un bridge fixe scellé
EN SAVOIR PLUS
Eclaircissement ambulatoire
EN SAVOIR PLUS
Maxillaire complet et traitement implantaire pour un bridge fixe scellé
EN SAVOIR PLUS
Maxillaire : bridge complet scellé sans fausse gencive
EN SAVOIR PLUS
Le laser dans le traitement de la parodontite
EN SAVOIR PLUS
Le traitement chirurgical de la parodontite
EN SAVOIR PLUS
Affichage des articles 37-42 sur 204
‹
1
2
3
4
5
6
7
8
9
10
11
…
33
34
›
Rechercher dans le blog Blog
Implantologie
(10)
Informations pratiques
(8)
Invisalign
(2)
L'équipement du cabinet dentaire
(8)
L'orthodontie
(23)
Les choix esthétiques
(14)
Les dents chez l'adulte
(6)
Les dents de l’enfance à l’adolescence
(14)
Les dents et la santé
(26)
Les gencives
(33)
Les implants
(26)
Les pathologies bucco-dentaires
(35)
Les prothèses
(54)
Omnipratique
(244)
Prendre soin des dents
(26)
GAMBETTA SMILE CLINIQUE
Politique de confidentialité et charte cookie
Mentions légales
Conditions Générales Utilisation
Charte déontologique
Ordre national
Annuaires chirurgiens dentistes
LE BLANCHIMENT DES DENTS "AU FAUTEUIL"
L’ÉCLAIRCISSEMENT DENTAIRE
LES FACETTES EN CÉRAMIQUE
POURQUOI L'EXCÈS DE SUCRE EST-IL MAUVAIS POUR LES DENTS ?
LA DENT, COMPOSITION, FORME ET FONCTION
LE SYNDROME D'APNÉES OBSTRUCTIVES DU SOMMEIL (SAOS)
Rechercher dans le blog Blog
Création par
Connexion
Vidéo en cours de lecture